Woman in blue floral blouse with short hair and a smile, set against a blue background.

Smile Gallery

Woman in blue floral blouse with short hair and a smile, set against a blue background.
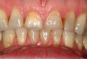
The image shows a close-up of a person s teeth with yellow staining, suggesting the need for dental care or whitening.

Before

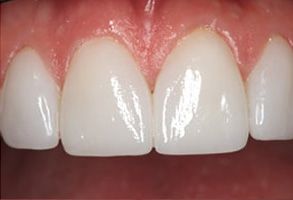
The image shows a close-up of a person s smile, focusing on their teeth and gums.

After

An image of a person s teeth, showcasing a dental treatment with visible yellow stains and a pink gumline.

Before

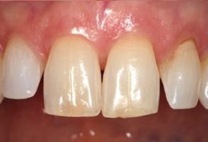
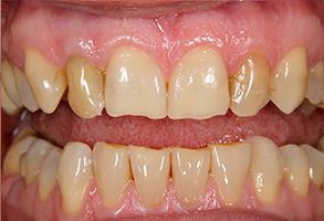
The image shows a close-up of a person s teeth with some discoloration, particularly noticeable on the front teeth, which are yellowed and have stains.

After

The image shows a close-up of a person s face with a wide smile, displaying straight white teeth and a dimple on the chin.

Before

The image shows a close-up of a person s smiling face with teeth, featuring a mustache and lips.

After

The image is a close-up photograph of a person s teeth, showcasing a set of white dental implants with visible gumline and a slight shadow beneath the mouth.

Before

White teeth in a smiling mouth, showcasing dental implants.

After

Image of a person s teeth showing signs of decay and discoloration, with a focus on the lower front teeth.

Before

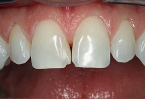
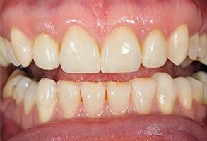
The image shows a close-up of a person s teeth with a focus on the front teeth.

After

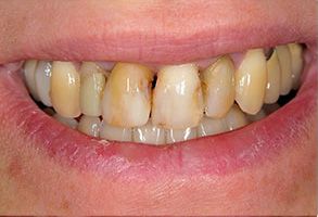
The image shows a close-up of a person s mouth with a focus on the teeth, which appear to be in need of dental care due to discoloration and possible decay.

Before

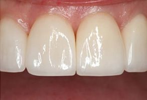
The image shows a close-up of a person s teeth, displaying a set of straight, white teeth with a natural gum line.

After

Gross close-up of an open mouth revealing multiple decayed teeth, some with visible fillings and a yellowish tint.

Before

An image of a person s teeth with a focus on the yellowing, possibly indicating dental health concerns.

After

Contact Us

Schedule your appointment online or give us a call to get started today.

Fowlerville Family Dentistry 753 South Grand Ave., Fowlerville, MI 48836